土曜診療 各種ローン対応 各種保険取扱

0797215655

【診療時間】午前 9:00~13:00 午後 14:30~18:30
【休診日】日曜、祝日

※最終受付時間:午前診療12:00、午後診療18:00までです。
※当院は、「予約制」です。来院時はご予約下さい。
※水曜・土曜:午前診療のみ

case

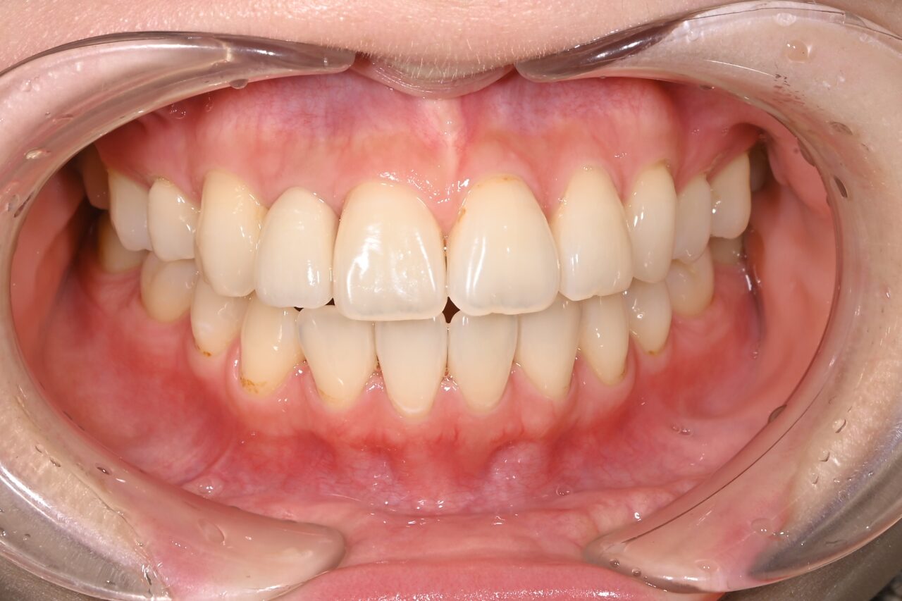
右上2番インプラントを有するジルコニアセラミッククラウン+ホワイトニングによる審美歯科治療

インプラント / セラミッククラウン

before

after

症例情報

年代/性別24歳女性
主訴先天性欠損によるインプラント審美相談
治療方法インプラントを有するジルコニアセラミッククラウンによる審美治療+ホワイトニングの審美治療 (ホワイトニング後の色味に合うように作成)
治療期間3ヶ月
費用715,000円
電話 Web問診 お問い合わせ
ホーム 相談・予約 Web問診 アクセス

インプラント・審美治療、まずはご相談からお気軽にどうぞ

0797215655

〒659-0093 兵庫県芦屋市船戸町10-18 マグナスビル1F

【休診日】日曜、祝日
※最終受付時間は、午前診療12:00、午後診療18:00迄となります。
※当院は、「予約制」です。来院時はご予約下さい。

臨床研修医を受け入れています(お気軽にご相談ください)
RADC
インプラントネット
クレジットカードでもお支払い可能です。