歯科医院タバタデンタルクリニック
インプラント・審美治療・ホワイトニングなら芦屋の当院へお任せください。24時間体制の歯科技工室も併設しています。

患者様を一生涯に
渡って
サポートし続ける、
それがTDCです
当院はインプラント治療・審美歯科で20年以上の実績があり、一般的な症例だけでなく難症例も多数手掛けております。
特にインプラント治療は痛みと腫れをほぼ伴わない独自のメソッドで行い、その後もトラブルなく長期に渡りご満足を頂いております。歯に関するお悩みはタバタデンタルクリニックにお気軽にご相談下さい。
PERFORMANCE実績
開業以来4,291件以上
TDCインプラントの
高い信頼性と安心感

開業以来20,293本以上
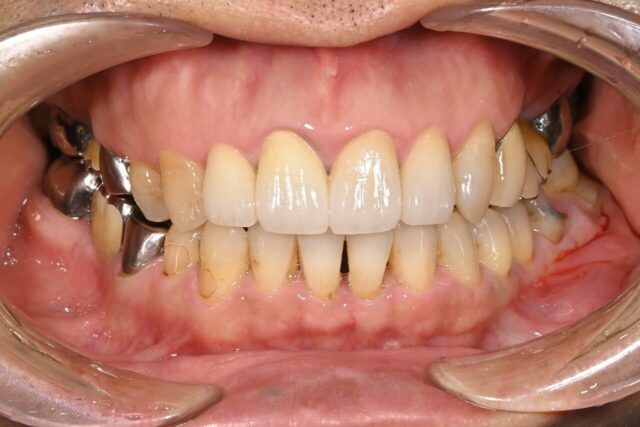
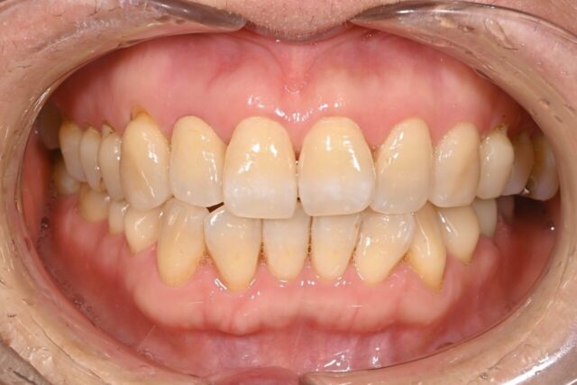
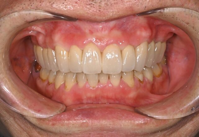
審美治療
ジルコニアオールセラミック

まずは、当院の症例をぜひご覧ください。
当院の症例をぜひご覧ください。
TREATMENT診療案内
インプラント・審美治療はもちろんのこと、
予防歯科や一般歯科まで幅広い診療で皆さまの歯をサポート致します。
AESTHETIC TREATMENT / WHITENING審美治療・ホワイトニング
審美治療とは、歯の美しさに重点に置いた総合的な歯科治療のことです。単に歯をきれいにするだけでなく、長期に渡って機能させることも目指して治療を行います。詰め物や被せ物を自然な白いものに取り換える診療など、その方に合った口腔機能が再現できるよう、最善の治療法をご提案いたします。

いつまでも、やりがいを持って
治療をしていたい
歯科治療だけでなく、どんなことにおいても、ゴールや目標を設定することは大切だと思います。
「治療の質を大事にしたい」「患者様に満足していただける治療を提供したい」と考えていた私は、「患者様を、一生涯に渡ってサポートし続ける歯科医院をつくる」という目標を掲げ、1999年に開院いたしました。
INFORMATIONお知らせ

人として、医療人として、
何のために仕事をするのか、
考えながら働こう。
人として、医療人として、そして社会人として共に成長しましょう。
私たちは、一流の思いやりをもった歯科医療が提供出来るように常に前を向いて進んでおります。



















