右上2番ジルコニアセラミッククラウンによる審美治療
セラミッククラウン

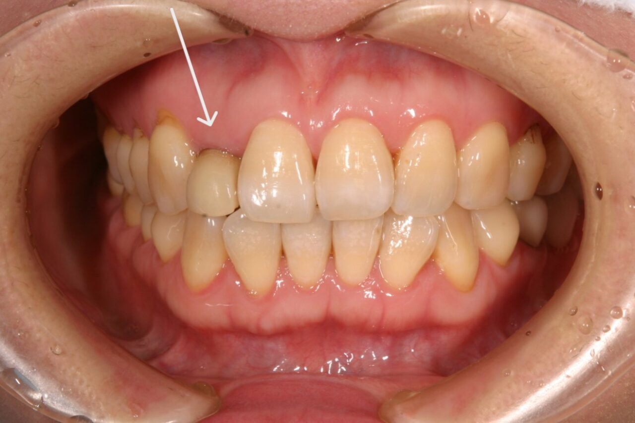
before

after
症例情報
| 年代/性別 | 60歳女性 |
|---|---|
| 主訴 | 歯の動揺、嫌なにおいがする |
| 治療方法 | ジルコニアセラミッククラウンによる審美治療 (自然な色味を希望) |
| 治療期間 | 4週間(来院回数4回) |
| 費用 | 187.000円 |

before

after
| 年代/性別 | 60歳女性 |
|---|---|
| 主訴 | 歯の動揺、嫌なにおいがする |
| 治療方法 | ジルコニアセラミッククラウンによる審美治療 (自然な色味を希望) |
| 治療期間 | 4週間(来院回数4回) |
| 費用 | 187.000円 |

【休診日】日曜、祝日
※最終受付時間は、午前診療12:00、午後診療18:00迄となります。
※当院は、「予約制」です。来院時はご予約下さい。