ピンクセラミック / セラミッククラウン
上顎2~1ジルコニアセラミッククラウンによる審美治療

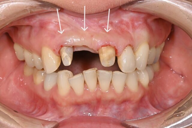
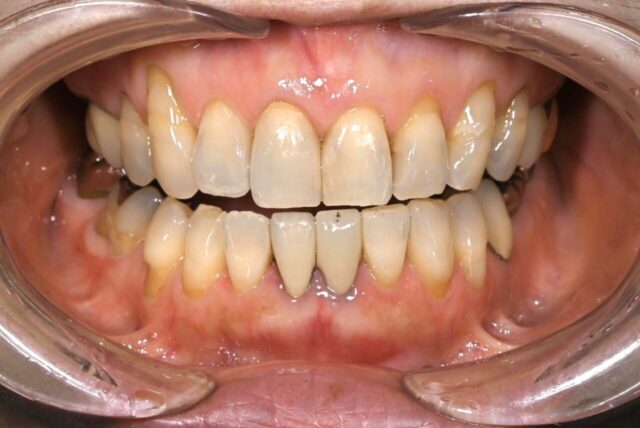
before

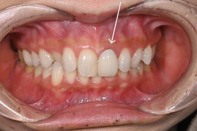
after
| 年代/性別 | 44歳女性 |
|---|---|
| 主訴 | セラミッククラウンのやりかえを希望 |
| 治療方法 | ジルコニアセラミッククラウンによる審美治療 (ピンクセラミックを希望) |
| 治療期間 | 1週間 |
| 費用 | 486,000円 |

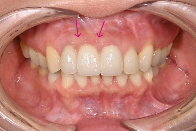
before

after
| 年代/性別 | 44歳女性 |
|---|---|
| 主訴 | セラミッククラウンのやりかえを希望 |
| 治療方法 | ジルコニアセラミッククラウンによる審美治療 (ピンクセラミックを希望) |
| 治療期間 | 1週間 |
| 費用 | 486,000円 |

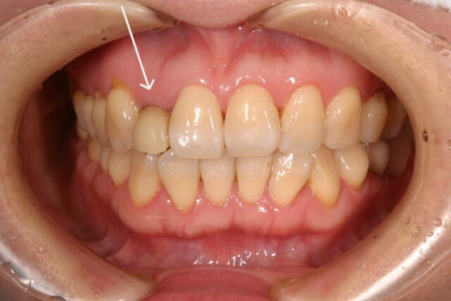
before

after
| 年代/性別 | 65歳男性 |
|---|---|
| 主訴 | 外傷による前歯部審美治療 |
| 治療方法 | ジルコニアセラミッククラウンによる審美治療 (自然できれいな色味を希望) |
| 治療期間 | 4週間(来院回数3回) |
| 費用 | 748,000円 |

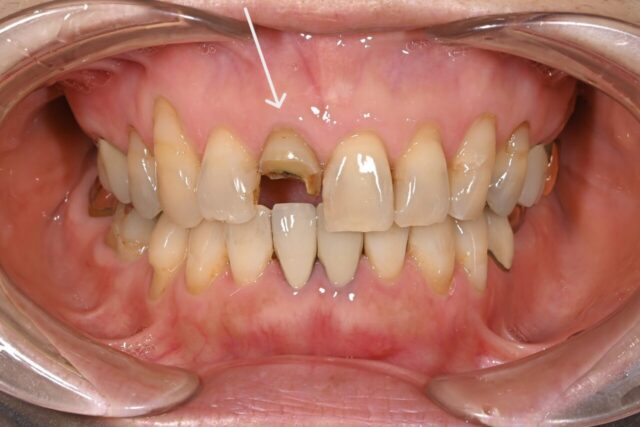
before

after
| 年代/性別 | 60歳女性 |
|---|---|
| 主訴 | 歯の動揺、嫌なにおいがする |
| 治療方法 | ジルコニアセラミッククラウンによる審美治療 (自然な色味を希望) |
| 治療期間 | 4週間(来院回数4回) |
| 費用 | 187.000円 |

before

after
| 年代/性別 | 68歳女性 |
|---|---|
| 主訴 | 歯冠破折による審美治療 |
| 治療方法 | ジルコニアセラミッククラウンによる審美治療 (自然な色味を希望) |
| 治療期間 | 4週間(来院回数3回) |
| 費用 | 187.000円 |

before

after
| 年代/性別 | 39歳女性 |
|---|---|
| 主訴 | 他院でのセラミッククラウンのやり替え希望 |
| 治療方法 | ジルコニアセラミッククラウンによる審美治療 (自然な色味を希望) |
| 治療期間 | 3週間(来院回数3回) |
| 費用 | 187.000円 |
| 備考 | 右上1番はコンポジットレジン修復にて形態修正 |

【休診日】日曜、祝日
※最終受付時間は、午前診療12:00、午後診療18:00迄となります。
※当院は、「予約制」です。来院時はご予約下さい。