インプラント / ピンクセラミック / セラミッククラウン / 難症例(上下全顎治療)
インプラントを有するジルコニアセラミッククラウンによる、全顎的な治療

before

after
| 年代/性別 | 55歳 男性 |
|---|---|
| 主訴 | 咬合の再構成希望 |
| 治療方法 | インプラントを有するジルコニアセラミッククラウンによる、全顎的な治療 |
| 治療期間 | 1年2ヵ月 |

before

after
| 年代/性別 | 55歳 男性 |
|---|---|
| 主訴 | 咬合の再構成希望 |
| 治療方法 | インプラントを有するジルコニアセラミッククラウンによる、全顎的な治療 |
| 治療期間 | 1年2ヵ月 |

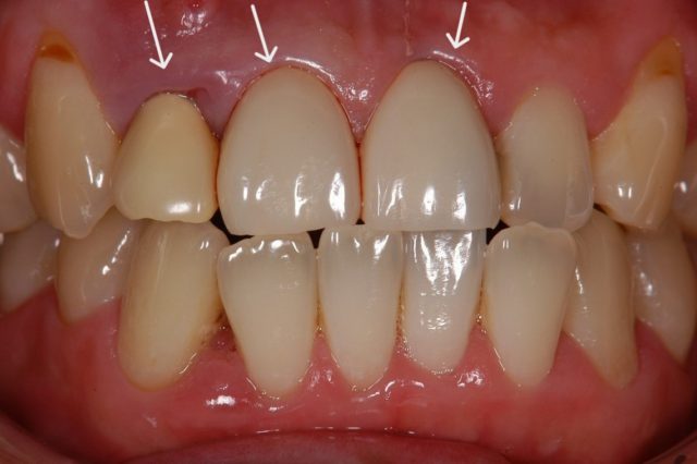
after
| 年代/性別 | 63歳 男性 |
|---|---|
| 主訴 | インプラント希望 |
| 治療方法 | 上顎4本下顎5本インプラントオーバーデンチャーによる治療 |
| 治療期間 | 1年2カ月 |

before

after
| 年代/性別 | 56歳 男性 |
|---|---|
| 主訴 | 歯がグラついて食べ物が噛めない |
| 治療方法 | 上顎残存歯抜歯後インプラントオーバーデンチャー作成したのち、下顎インプラントフルマウス治療 |
| 治療期間 | 上顎インプラント埋入から11ヶ月後に上顎インプラントデンチャー完成。 下顎インプラント埋入から3ヶ月後に下顎補綴物の完成 |

before

after
| 年代/性別 | 65歳 男性 |
|---|---|
| 主訴 | 歯周病で抜けていった。仮歯も取れそう。 |
| 治療方法 | インプラント及びオールセラミッククラウンによるフルマウスリコンストラクションの咬合再構成 |
| 治療期間 | 6ヵ月 |

before

after
| 年代/性別 | 40歳 男性 |
|---|---|
| 主訴 | 右2番揺れる、左右1番やり替えたい |
| 治療方法 | 右2番インプラント及び、左右1番オールセラミッククラウンによる審美治療 |
| 治療期間 | 11ヵ月 |
| 費用 | 825,000円(税込) |

【休診日】日曜、祝日
※最終受付時間は、午前診療12:00、午後診療18:00迄となります。
※当院は、「予約制」です。来院時はご予約下さい。