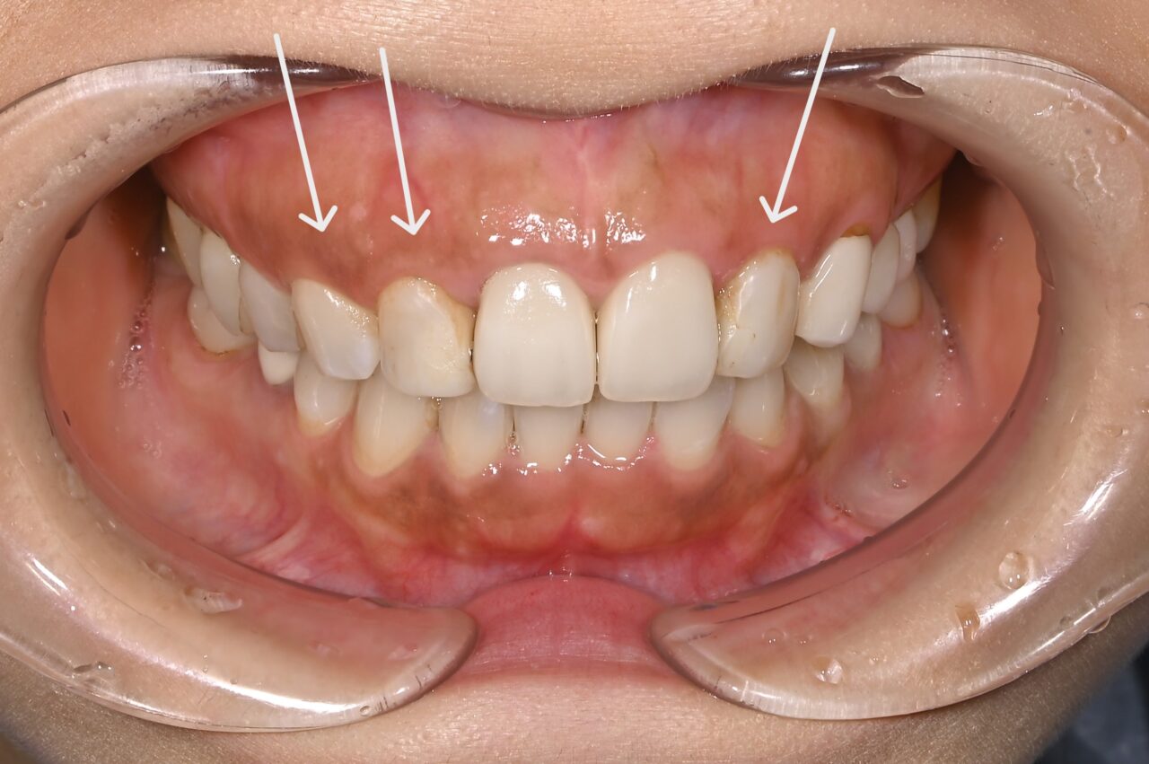
右上2、3番ラミネートべニアおよび左上2番ジルコニアセラミッククラウンによる審美治療
セラミッククラウン / ラミネートべニア

before

after
症例情報
| 年代/性別 | 46歳女性 |
|---|---|
| 主訴 | 審美相談 |
| 治療方法 | ラミネートべニアおよびジルコニアセラミッククラウンによる審美治療 |
| 治療期間 | 3週間(歯茎のラインを整える治療を施したため、来院回数3回) |
| 費用 | 561,000円 |

before

after
| 年代/性別 | 46歳女性 |
|---|---|
| 主訴 | 審美相談 |
| 治療方法 | ラミネートべニアおよびジルコニアセラミッククラウンによる審美治療 |
| 治療期間 | 3週間(歯茎のラインを整える治療を施したため、来院回数3回) |
| 費用 | 561,000円 |

【休診日】日曜、祝日
※最終受付時間は、午前診療12:00、午後診療18:00迄となります。
※当院は、「予約制」です。来院時はご予約下さい。