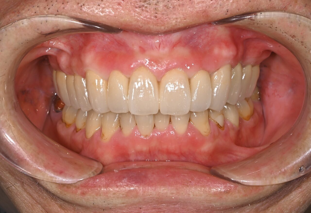
上顎フルマウスおよび左下5番、右下4番、ジルコニアセラミッククラウンによる審美治療
セラミッククラウン

before

after
症例情報
| 年代/性別 | 72歳男性 |
|---|---|
| 主訴 | 全学的な治療相談 |
| 治療方法 | ジルコニアセラミッククラウンによる審美治療 |
| 治療期間 | 1ヶ月 |
| 費用 | 2,805,000円 |

before

after
| 年代/性別 | 72歳男性 |
|---|---|
| 主訴 | 全学的な治療相談 |
| 治療方法 | ジルコニアセラミッククラウンによる審美治療 |
| 治療期間 | 1ヶ月 |
| 費用 | 2,805,000円 |

【休診日】日曜、祝日
※最終受付時間は、午前診療12:00、午後診療18:00迄となります。
※当院は、「予約制」です。来院時はご予約下さい。