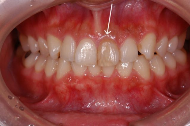
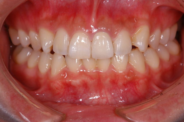
インプラント / セラミッククラウン
右2番インプラント及び左右1番ジルコニアセラミッククラウン審美治療

before

after
| 年代/性別 | 40歳 男性 |
|---|---|
| 主訴 | 右2番揺れる、左右1番やり替えたい |
| 治療方法 | 右2番インプラント及び、左右1番オールセラミッククラウンによる審美治療 |
| 治療期間 | 11ヵ月 |
| 費用 | 825,000円(税込) |

before

after
| 年代/性別 | 40歳 男性 |
|---|---|
| 主訴 | 右2番揺れる、左右1番やり替えたい |
| 治療方法 | 右2番インプラント及び、左右1番オールセラミッククラウンによる審美治療 |
| 治療期間 | 11ヵ月 |
| 費用 | 825,000円(税込) |

before

after
| 年代/性別 | 30歳 女性 |
|---|---|
| 主訴 | 前歯部左1番の審美障害 |
| 治療方法 | オールセラミッククラウンによる審美治療 |
| 治療期間 | 8日 |
| 費用 | 165,000円(税込) |

before

after
| 年代/性別 | 37歳 女性 |
|---|---|
| 主訴 | 数カ月前に東京でした 仮歯が夜も寝れないくらい気に入らない |
| 治療方法 | 右上1,2番及び左上1,2番オールセラミッククラウンによる治療 右上1番のみピンクセラミック使用 |
| 治療期間 | 13日 |
| 費用 | 660,000円(税込) |
| 備考 | 右上1番は他院インプラントの為アバットメント費用5万TAXあり |

before

after
| 年代/性別 | 45歳 男性 |
|---|---|
| 主訴 | 咬めない所をかばって咬んでいる |
| 治療方法 | インプラントを用いたフルマウスリコンストラクションによる咬合の再構成 |
| 治療期間 | 10カ月 |
| 備考 | SET後数回の咬合調整を行った後良好 ただし全顎的な補綴治療となる為数回に渡り通院が必要 補綴治療なのでご自身の歯を削る必要があります。 |

before

after
| 年代/性別 | 30代/女性 |
|---|---|
| 主訴 | 過蓋咬合 噛み合わせが悪い |
| 治療方法 | マルチブラケットによる矯正治療及び左右1番2番によるオールセラミッククラウン審美治療 |
| 治療期間 | 3年3ヵ月 |

【休診日】日曜、祝日
※最終受付時間は、午前診療12:00、午後診療18:00迄となります。
※当院は、「予約制」です。来院時はご予約下さい。