インプラント / ピンクセラミック / セラミッククラウン / 難症例(上下全顎治療)
インプラントを有するジルコニアセラミッククラウンによる、全顎的な治療

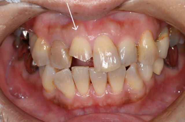
before

after
| 年代/性別 | 55歳 男性 |
|---|---|
| 主訴 | 咬合の再構成希望 |
| 治療方法 | インプラントを有するジルコニアセラミッククラウンによる、全顎的な治療 |
| 治療期間 | 1年2ヵ月 |

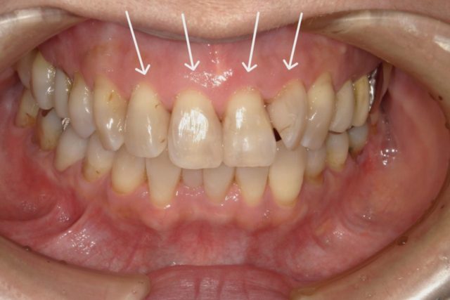
before

after
| 年代/性別 | 55歳 男性 |
|---|---|
| 主訴 | 咬合の再構成希望 |
| 治療方法 | インプラントを有するジルコニアセラミッククラウンによる、全顎的な治療 |
| 治療期間 | 1年2ヵ月 |

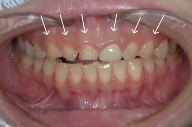
before

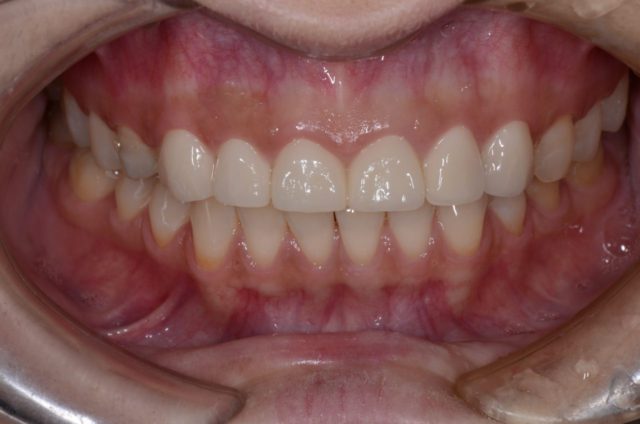
after
| 年代/性別 | 52歳 女性 |
|---|---|
| 主訴 | 下顎2-2欠け痛み |
| 治療方法 | 上下2-2ジルコニアセラミッククラウンによる審美治療 |
| 治療期間 | 42日 |
| 費用 | 1.496.000円(税込) |

before

after
| 年代/性別 | 50歳 女性 |
|---|---|
| 主訴 | 転倒し歯冠破折 |
| 治療方法 | 右上1番ジルコニアセラミッククラウンによる審美治療 |
| 治療期間 | 19日 |
| 費用 | 187.000円(税込) |

before

after
| 年代/性別 | 53歳 女性 |
|---|---|
| 主訴 | 上顎1―1欠け セラミック希望 |
| 治療方法 | 上顎2―2ジルコニアセラミッククラウンによる審美治療 |
| 治療期間 | 7日 |
| 費用 | 748.000円(税込) |

before

after
| 年代/性別 | 49歳 女性 |
|---|---|
| 主訴 | 審美障害 全顎セラミック希望 |
| 治療方法 | フルマウスリコンストラクションによるオールセラミッククラウンの治療 |
| 治療期間 | 64日 |
| 費用 | 5.236.000円(税込) |

【休診日】日曜、祝日
※最終受付時間は、午前診療12:00、午後診療18:00迄となります。
※当院は、「予約制」です。来院時はご予約下さい。