インプラント / セラミッククラウン
上顎2~2インプラントによる上下咬合再構成の審美症例

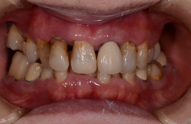
before

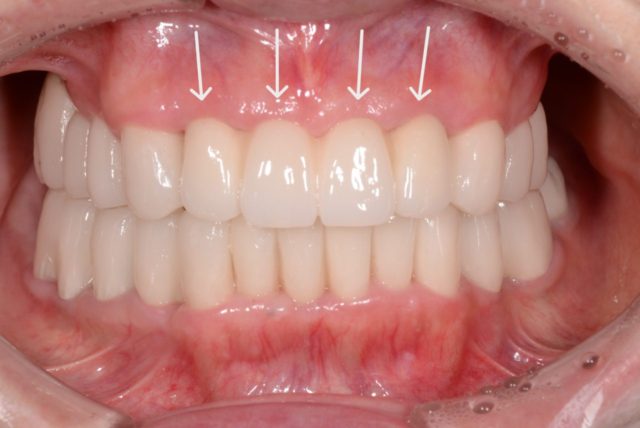
after
| 年代/性別 | 71歳 女性 |
|---|---|
| 主訴 | 物が詰まる、審美相談 |
| 治療方法 | インプラントを有するジルコニセラミッククラウンによる審美治療 |
| 治療期間 | 11カ月 |
| 費用 | 5,984,000円 |

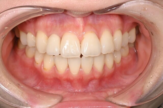
before

after
| 年代/性別 | 71歳 女性 |
|---|---|
| 主訴 | 物が詰まる、審美相談 |
| 治療方法 | インプラントを有するジルコニセラミッククラウンによる審美治療 |
| 治療期間 | 11カ月 |
| 費用 | 5,984,000円 |

before

after
| 年代/性別 | 40歳男性 |
|---|---|
| 主訴 | 根尖部の痛みによるインプラント相談 |
| 治療方法 | インプラントを有するジルコニアセラミッククラウンによる審美治療 (自然な色味を希望) |
| 治療期間 | 4カ月 |
| 費用 | 561,000円 |

before

after
| 年代/性別 | 57歳男性 |
|---|---|
| 主訴 | 歯周病による治療相談 |
| 治療方法 | インプラントを有するジルコニアセラミッククラウンによる審美治療 (自然な明るい色味を希望) |
| 治療期間 | 10か月 |
| 費用 | 6,699,000円 |

before

after
| 年代/性別 | 24歳女性 |
|---|---|
| 主訴 | 先天性欠損によるインプラント審美相談 |
| 治療方法 | インプラントを有するジルコニアセラミッククラウンによる審美治療+ホワイトニングの審美治療 (ホワイトニング後の色味に合うように作成) |
| 治療期間 | 3ヶ月 |
| 費用 | 715,000円 |

before

after
| 年代/性別 | 46歳 女性 |
|---|---|
| 主訴 | すきっ歯 歯並び全体的な審美障害 |
| 治療方法 | インプラントを有するジルコニアセラミッククラウンによる、全顎的な治療 |
| 治療期間 | 124日 |

【休診日】日曜、祝日
※最終受付時間は、午前診療12:00、午後診療18:00迄となります。
※当院は、「予約制」です。来院時はご予約下さい。