セラミッククラウン
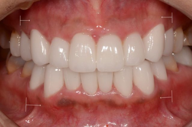
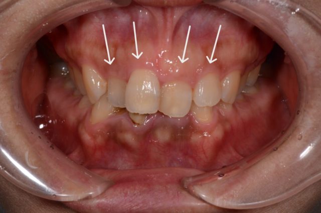
上顎3-3ジルコニアセラミッククラウンによる審美治療+ホワイトニング

before

after
| 年代/性別 | 34歳女性 |
|---|---|
| 主訴 | 叢生が気になる 審美障害 |
| 治療方法 | ジルコニアセラミッククラウンによる審美治療+ホワイトニングによる審美治療 (下の歯のホワイトニング後の色味よりもワンランク明るく作成) |
| 治療期間 | 3週間 |
| 費用 | 1,188,000円 |

before

after
| 年代/性別 | 34歳女性 |
|---|---|
| 主訴 | 叢生が気になる 審美障害 |
| 治療方法 | ジルコニアセラミッククラウンによる審美治療+ホワイトニングによる審美治療 (下の歯のホワイトニング後の色味よりもワンランク明るく作成) |
| 治療期間 | 3週間 |
| 費用 | 1,188,000円 |

before

after
| 年代/性別 | 42歳女性 |
|---|---|
| 主訴 | 他院でいれたセラミッククラウンの破折、やり替え |
| 治療方法 | ジルコニアセラミッククラウンによる審美治療 (自然な色味を希望) |
| 治療期間 | 10日 |
| 費用 | 187.000円(税込) |

before

after
| 年代/性別 | 46歳 女性 |
|---|---|
| 主訴 | 叢生が気になる 審美障害 |
| 治療方法 | 上顎3-3ジルコニアセラミッククラウンによる審美治療 |
| 治療期間 | 25日 |
| 費用 | 1.122.000円(税込) |

before

after
| 年代/性別 | 46歳 女性 |
|---|---|
| 主訴 | すきっ歯 歯並び全体的な審美障害 |
| 治療方法 | インプラントを有するジルコニアセラミッククラウンによる、全顎的な治療 |
| 治療期間 | 124日 |

before

after
| 年代/性別 | 47歳 女性 |
|---|---|
| 主訴 | 矯正の期間が長いのが辛く、歯の色も気になる |
| 治療方法 | 上下左右4-4オールセラミッククラウンによる治療 |
| 治療期間 | 17日 |

【休診日】日曜、祝日
※最終受付時間は、午前診療12:00、午後診療18:00迄となります。
※当院は、「予約制」です。来院時はご予約下さい。