インプラント / セラミッククラウン / 難症例(上下全顎治療)
インプラントを有するジルコニアセラミッククラウンによる全顎的な審美治療

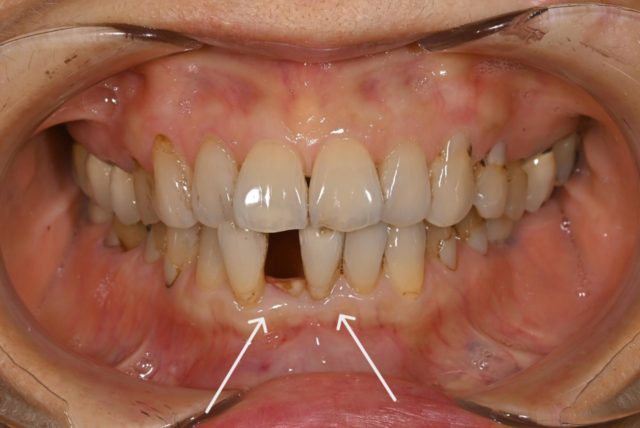
before

after
| 年代/性別 | 57歳男性 |
|---|---|
| 主訴 | 歯周病による治療相談 |
| 治療方法 | インプラントを有するジルコニアセラミッククラウンによる審美治療 (自然な明るい色味を希望) |
| 治療期間 | 10か月 |
| 費用 | 6,699,000円 |

before

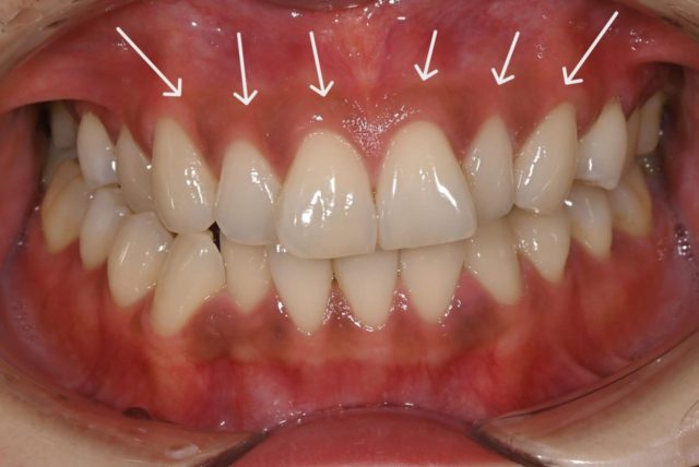
after
| 年代/性別 | 57歳男性 |
|---|---|
| 主訴 | 歯周病による治療相談 |
| 治療方法 | インプラントを有するジルコニアセラミッククラウンによる審美治療 (自然な明るい色味を希望) |
| 治療期間 | 10か月 |
| 費用 | 6,699,000円 |

before

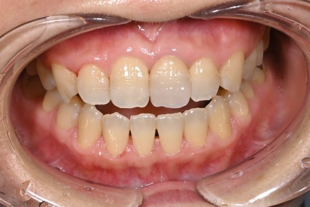
after
| 年代/性別 | 54歳男性 |
|---|---|
| 主訴 | 審美障害 |
| 治療方法 | ジルコニアセラミッククラウンによる全顎的治療 (患者様の好みの色味に作成) |
| 治療期間 | 6ヶ月 |
| 費用 | 2,431,000円 |

before

after
| 年代/性別 | 24歳女性 |
|---|---|
| 主訴 | 先天性欠損によるインプラント審美相談 |
| 治療方法 | インプラントを有するジルコニアセラミッククラウンによる審美治療+ホワイトニングの審美治療 (ホワイトニング後の色味に合うように作成) |
| 治療期間 | 3ヶ月 |
| 費用 | 715,000円 |

before

after
| 年代/性別 | 73歳女性 |
|---|---|
| 主訴 | 下顎右側1番の歯冠破折 |
| 治療方法 | ジルコニアセラミッククラウンによる審美治療 (自然な色味を希望) |
| 治療期間 | 2ヶ月 |
| 費用 | 748,000円 |

before

after
| 年代/性別 | 36歳男性 |
|---|---|
| 主訴 | コンポジットレジン修復部の破折 |
| 治療方法 | ジルコニアセラミッククラウンによる審美治療 (自然な色味を希望) |
| 治療期間 | 1週間 |
| 費用 | 187.000円 |

【休診日】日曜、祝日
※最終受付時間は、午前診療12:00、午後診療18:00迄となります。
※当院は、「予約制」です。来院時はご予約下さい。